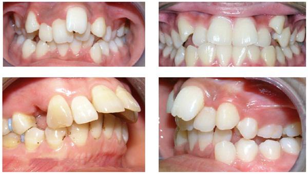
Không may mắn sở hữu một hàm răng đều thẳng tắp khiến bạn luôn tự ti trong cuộc sống, việc có một hàm trăng hô, móm, “cái trong cái ngoài” còn khiến bạn khó khăn trong việc vệ sinh răng miệng, ảnh hưởng đến cả chức năng nhai, phát âm không được rõ ràng.
Các bệnh về răng như hô, móm, khập khểnh.
Chắc các bạn cũng đã biết hay đã từng nghe qua câu chuyện của ai đó về tác dụng thần thánh của việc niềng răng trong việc thay đổi ngoại hình và giúp họ xinh đẹp tự tin hơn rất nhiều lần. Tuy nhiên, để đi đến quyết định niềng răng và nhận lại kết quả như ý muốn sau suốt mấy năm ròng rã chịu bao đau đớn, đó là cả một hành trình dài.
Vậy niềng răng, nên hay không nên? Hãy xem qua bài viết này để bạn có thể đưa ra một quyết định thật “chuẩn” nhé.
Niềng răng là gì?
Niềng răng, thuật ngữ chuyên ngàng gọi là chỉnh nha hay nắn chỉnh răng, là phương pháp điều trị răng hô, răng móm, răng chen chúc khấp khểnh, răng thưa, … bằng cách sử dụng khí cụ nắn chỉnh di chuyển răng và xương ổ răng từ từ và liên tục về vị trí mong muốn.
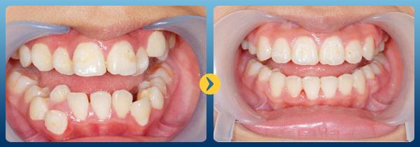
Sau khi niềng răng, răng được chỉnh về vị trí khớp với nướu
Niềng răng giúp bạn có một thẩm mỹ tốt hơn?
Niềng răng không chỉ giúp răng trở nên thẳng đều, mà còn di chuyển cả xương ổ răng, làm hài hòa đường viền lợi, mang lại cho bạn một nụ cười hoàn mỹ, khuôn mặt cân đối.Hiện nay, chưa có một phương pháp thẩm mỹ nào kể cả phẫu thuật thẩm mỹ có thể can thiệp được một lúc cả xương ổ răng và răng ngoài niềng răng. Niềng răng được xem là phương pháp thẩm mỹ hoàn hảo nhất cho răng hô, móm do răng, răng chen chúc, răng ngắn hay cười hở lợi.
Nụ cười tươi khoe răng, bạn có muốn sở hữu.
Sức mạnh thần thánh của niềng răng sẽ được thể hiện qua một vài hình ảnh chứng minh cho bạn đây!
Bảo Thy hoàn toàn thay đổi, gương mặt trở nên gọn hơn sau khi niềng răng
Khánh Linh The Face sau khi niềng răng cũng có một nụ cười răng đều thẳng tắp
Angela Baby, bạn có thấy sự khác biệt rõ ràng hơn không?
Cô gái Khánh Linh từng mặc cảm vì hàm răng của mình, bây giờ đã tự tin khoe hàm răng xinh sau khi niềng răng.
Độ tuổi niềng răng thích hợp nhất?
Theo hiệp hội chỉnh nha Hoa Kỳ, 7 tuổi là thời điểm phù hợp nhất để niềng răng cho trẻ nhỏ. Ở thời điểm này trẻ đã bắt đầu có biểu hiện lệch lạc, hô, móm của hàm răng. Nếu trong giai đoạn này có sự can thiệp của niềng răng thì hiệu quả sẽ đạt tối ưu cả về tính thẩm mỹ và thời gian niềng răng.
Giai đoạn thứ 2 là khi bạn 12 – 18 tuổi. Thời gian này răng sữa đã hoàn toàn bị thay thế bởi răng thật, răng cối cũng mọc đầy đủ, cấu trúc hàm đã có trình tự xác định tuy nhiên mô răng còn khá mềm, dễ di chuyển. Vậy nên trong giai đoạn này nếu bạn chỉnh nha thì hiệu quả cũng rất cao, thời gian không quá dài, chỉ từ 12 – 24 tháng.
Tuy nhiên, về nguyên tắc, phương pháp chỉnh nha bằng niềng răng không chỉ dành cho trẻ em mà cả người lớn cũng có thể áp dụng biện pháp này để làm cho nụ cười của mình đẹp hơn. Và sẽ không bao giờ là quá muộn để cải thiện sức khỏe răng miệng và vẻ đẹp nụ cười của bạn. Dù đã trưởng thành và có răng mọc lệch thì không có nghĩa răng của bạn sẽ bị khóa tại vị trí đó.
Răng luôn có xu hướng di chuyển trong suốt cuộc đời của bạn. Niềng răng sẽ giúp bạn điều chỉnh răng về đúng vị trí. Mắc cài có thể làm thẳng các răng bị xoay theo các hướng khác nhau và điều này sẽ giúp bạn có nụ cười đẹp hơn.
Đó là về mặt thẩm mỹ, nhưng quan trọng hơn biện pháp này sẽ giúp cho sức khỏe răng miệng được cải thiện tốt hơn. Khi răng đều và thẳng tắp thì ta sẽ dễ dàng trong việc vệ sinh răng như chải răng và dùng chỉ nha khoa. Điều này đồng nghĩa với việc hạn chế bị sâu răng và nướu khỏe mạnh hơn.
Hiện nay, có các loại mắc cài niềng răng phổ biến sau:
– Mắc cài kim loại (thép không gỉ, bạc, vàng…)
– Mắc cài sứ
– Mắc cài tự buộc
– Mắc cài mặt lưỡi
Tuy nhiên, niềng răng mắc cài gặp phải hạn chế lớn đó là gây vướng víu và cảm giác khó chịu, mất thẩm mỹ . Vì vậy, để khắc phục triệt để vấn đề này, bạn có thể sử dụng niềng răng không mắc cài. Đây là phương pháp niềng răng tốt, được rất nhiều người tin tưởng, lựa chọn.
Tùy vào mỗi người có thể được bác sĩ yêu cầu loại bỏ răng hoặc phẫu thuật hàm. Thời gian niềng răng cho mỗi trường hợp cũng khác nhau kéo dài từ 1,5 – 3 năm.
Nếu vẫn còn băn khoăn, đừng ngần ngại đến ngay những cơ sở uy tín để được các chuyên gia tư vấn tận tình, cũng như nhận được lời khuyên làm đẹp phù hợp nhất với gương mặt cũng như nhu cầu của mình các nàng nhé!









No comments:
Post a Comment